Warning: foreach() argument must be of type array|object, bool given in /home/dpclient/naritasika.com/public_html/wp-content/themes/DEN-PRO_Theme/single-cases.php on line 16
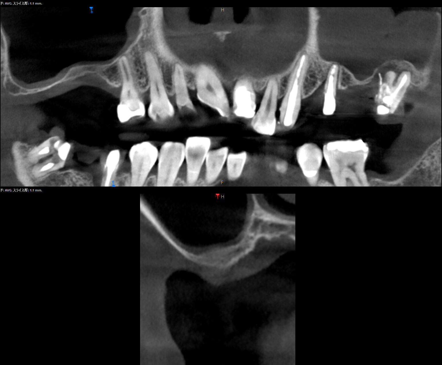
GBR(骨再生誘導法),上顎洞底挙上術(サイナスリフト)
治療前

治療後

治療前

治療後

治療期間
6ヶ月以上
通院回数
-
治療費
250,000〜
想定される副作用またはリスク
術後に腫れや内出血を起こす場合があります。
抜歯を行うと、さまざまな要因で元々あった骨は吸収してしまいます。インプラント治療が困難であるという説明を受ける際の原因の多くはこのためです。
この失われた部分に、人工骨や再生膜を用いて骨の再生を促す治療です。
インプラント治療の際、インプラントを支えるための骨が不足している場合に行われます。
技術的難易度が高く、再生できる骨量も術者依存になることが多いため、執刀医の経験と実績が非常に重要な要素となります。
当院では、生体親和性の高い材料を使用し、感染リスクを抑えた安全な手技で、失われた骨の再生をサポートしています。
骨の再生によって、インプラント治療が可能になり、口腔内の健康を長期的に守ることができます。
他院でのインプラント治療を断られた患者様も当院であれば問題なく治療できる場合がございます。インプラント治療でお困りの方は是非一度当院へご相談ください。
