セラミック治療+歯肉切除術
50代女性
治療前

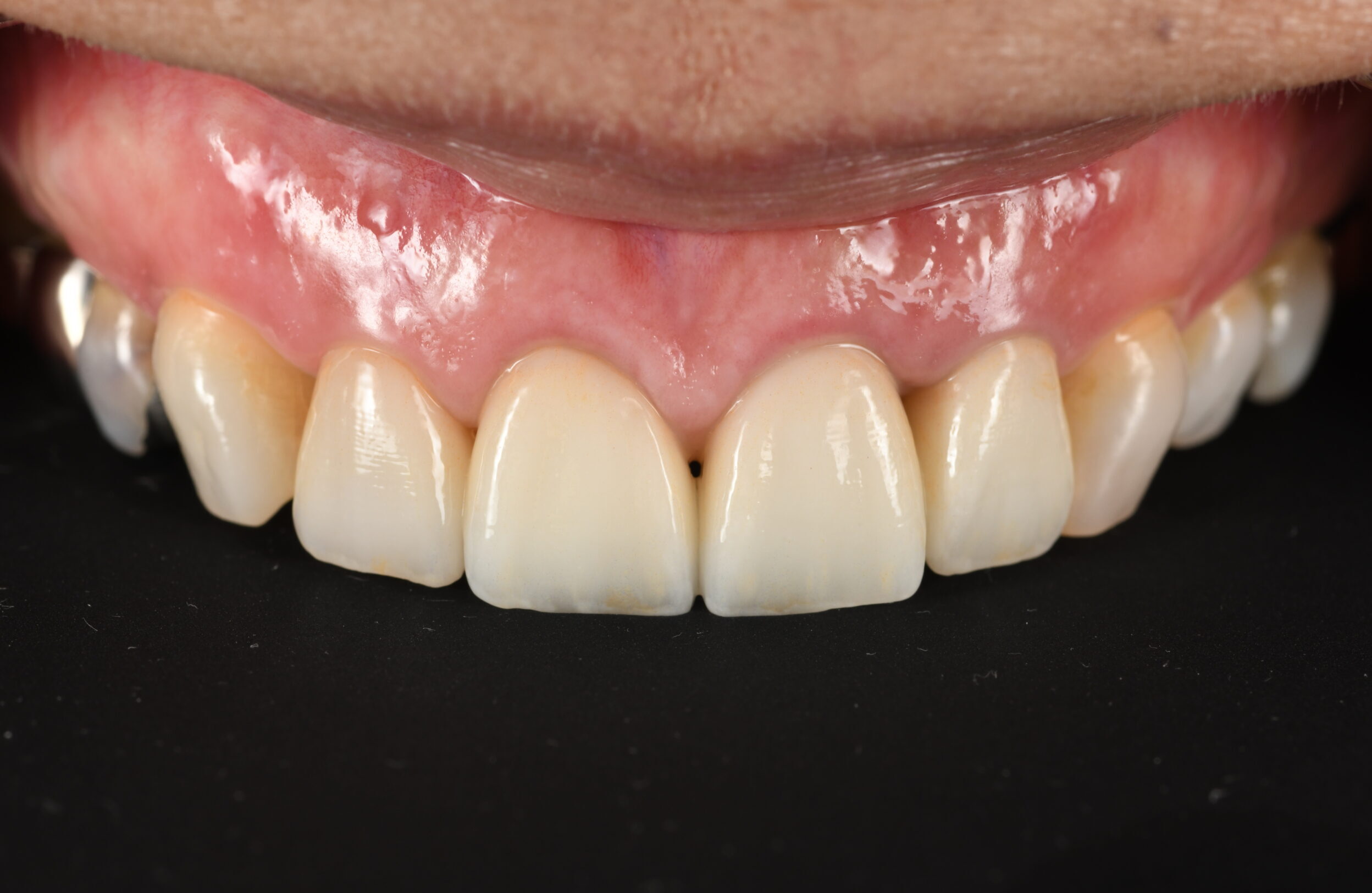
治療後

治療期間
6ヶ月
通院回数
-
治療費
約60万円
想定される副作用またはリスク
歯肉の処置が必要な場合は、その処置後に出血や腫脹が起こる可能性がございます。
元々骨格的に歯肉と骨のバランスが崩れており、審美的な障害を訴えてご来院された患者さんです。
笑った際に歯肉が見えてしまうということも気にされていたので、歯肉の切除を行い、十分な治癒期間を置いた後にセラミック治療を行いました。
ただ単にセラミック治療を行うだけでは審美的な結果は得られず、普段の笑った際の唇の動き方、骨格の問題、歯肉の問題など、さまざまな観点を考慮した上で設計を行わないと、長期的に安定する治療を行うことはできません。
当院では詳細な診査診断を行い、患者様一人一人に適した審美治療を提供しております。
少しでもお悩みのことがあれば、ぜひ当院にご相談ください。