ガミースマイルの治療
30代女性
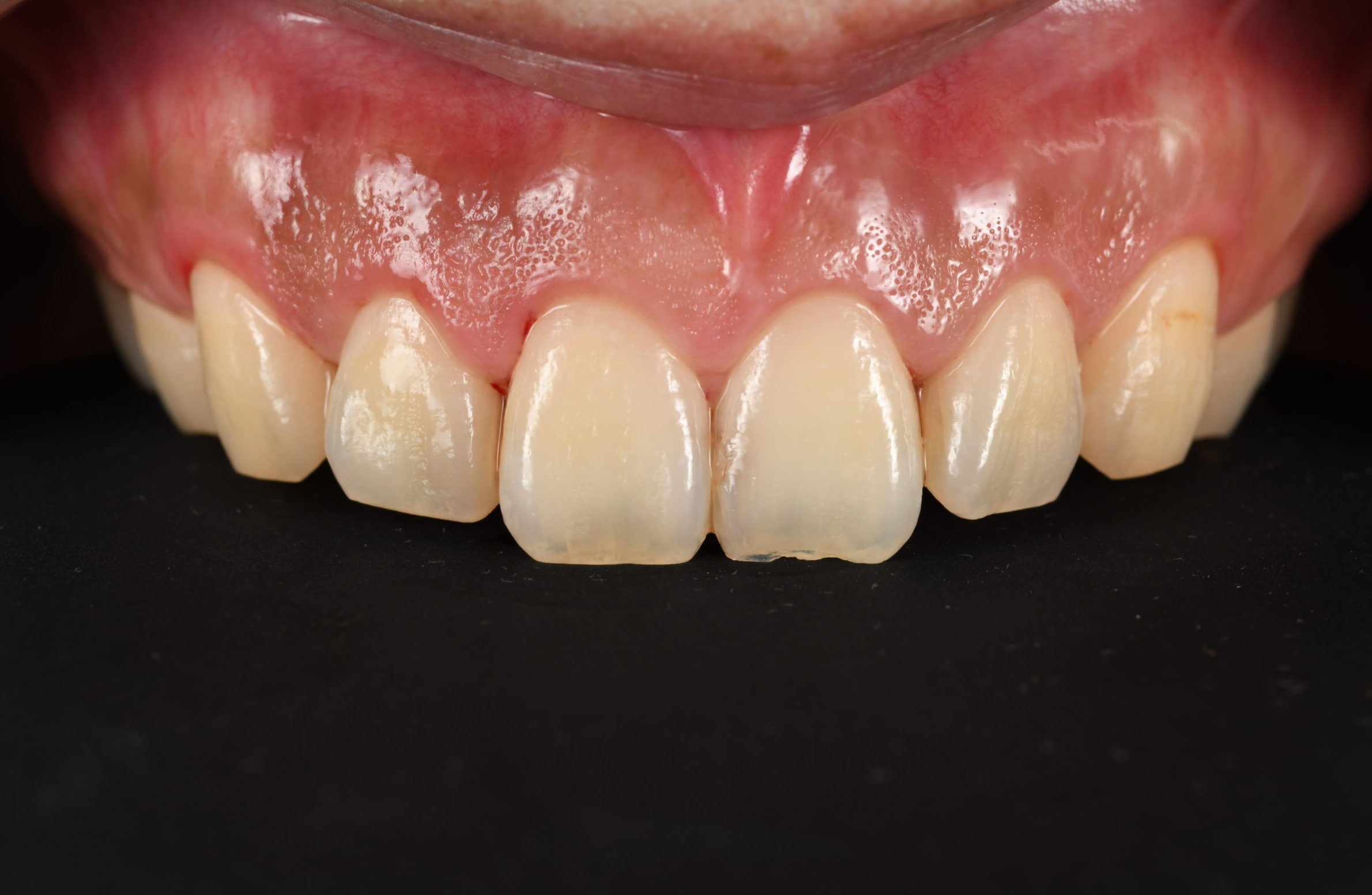
治療前

治療後

治療期間
1ヶ月
通院回数
3回程度(クリーニング、診査診断含む)
治療費
132,000
想定される副作用またはリスク
術後に腫脹、疼痛が出る場合があります。
笑った際に歯茎が見えてしまう状態のことで、特に女性の方に多く見られる状態です。
ガミースマイルの原因にもよりますが、簡単な歯肉の切除で劇的に変化することがあります。
クリーニングを別として、一回の処置で終わる簡便な処置になります。
もしガミースマイルでお悩みの方はぜひ一度当院に相談ください。