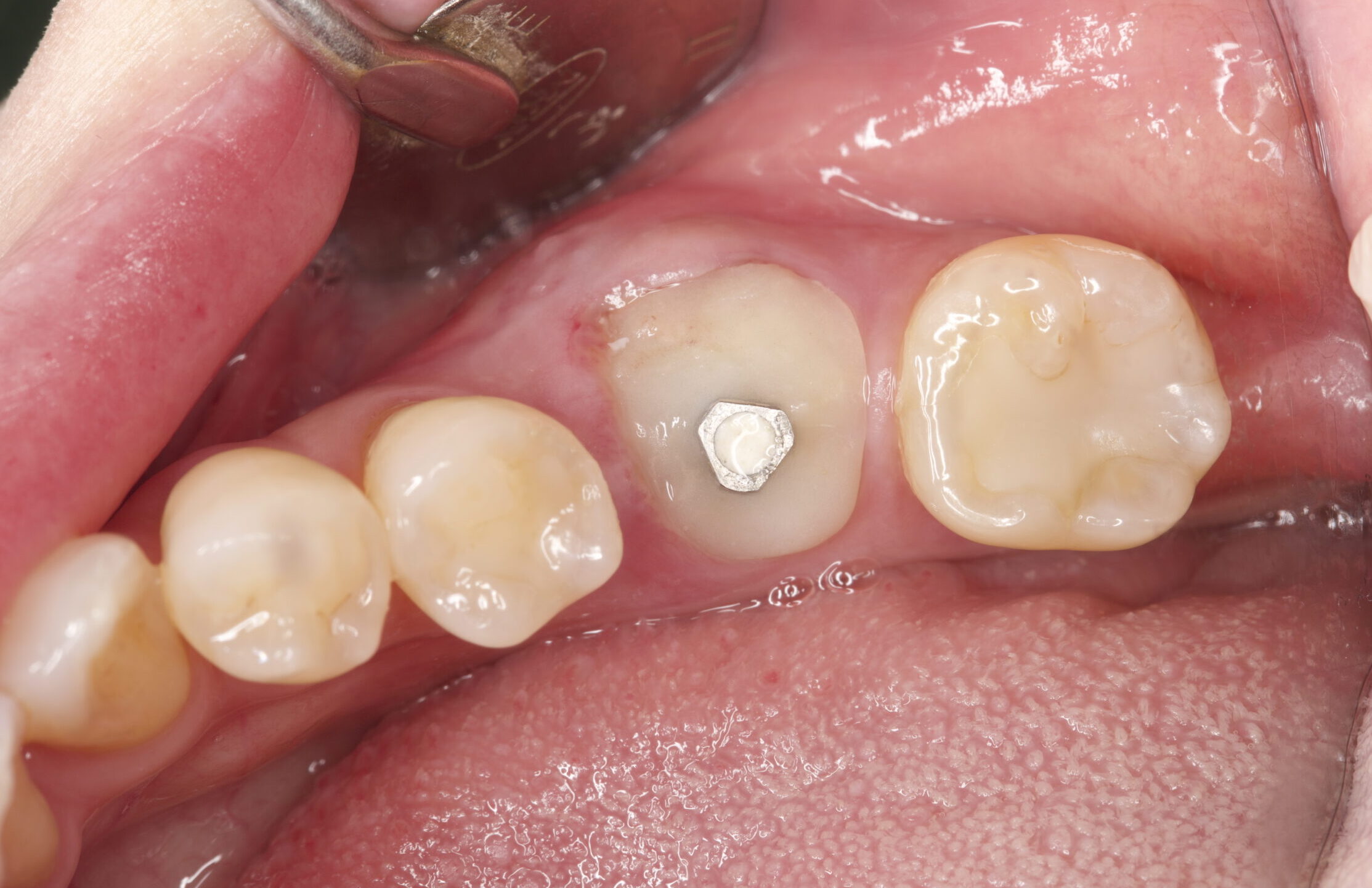
インプラント治療(抜歯即時埋入)
50代女性
治療前

治療後

治療期間
4ヶ月
通院回数
-
治療費
約500,000円
想定される副作用またはリスク
術後に出血、疼痛のリスクがあります。
※写真であげたケースは術直後のものであり、治療終了時のものではありません。
通常、インプラントを行う際は、抜歯を行い、3ヶ月ほど治癒を待ったのち、1回目の手術。そこからさらに4ヶ月ほど待ち、2回目の手術を行います。トータルの期間として1年弱かかるものでした。
しかしながら抜歯即時埋入という手法のエビデンスが蓄積され、一度の処置で抜歯からインプラント埋入まで一気に行うことが可能となりました。
このことにより、手術の回数、治療期間の短縮がなされ、患者様の負担の軽減と、口腔機能回復までの期間が一気に短縮されました。
抜歯即時埋入はもちろんですが、インプラント治療は経験豊富なドクターが行う必要があります。高価な治療でもあるため、悪くなったところをインプラントに置き換えれば良いという話ではなく、口腔内全体のバランスを考え治療を進めていくことが重要となります。
インプラント治療をお考えの方はぜひ一度当院にご相談ください。