ガミースマイルの治療(クラウンレングスニング)
30代女性
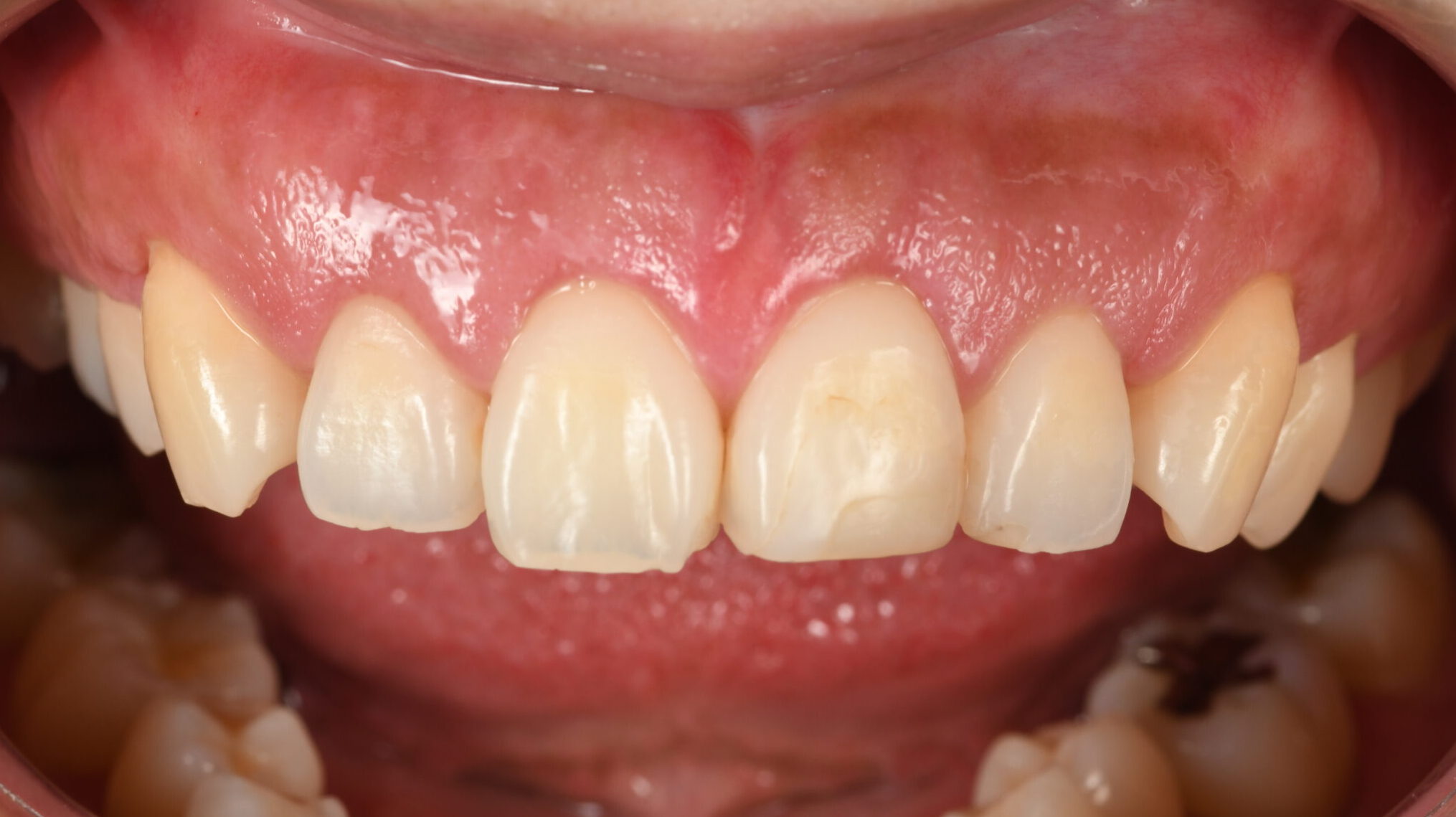
治療前

治療後

治療期間
1ヶ月
通院回数
2回
治療費
100,000~(処置本数により変動)
想定される副作用またはリスク
-
歯の萌出時の異常や骨格の問題などにより笑った際に歯茎が多く見えてしまうことをガミースマイルと言います。
この場合は骨格の問題が絡んでいる場合が多いですが、歯肉の切除を行うだけでかなりイメージを変えることが可能です。
一度の処置で終わり、術後の腫れや痛みの問題が出ることは少ないです。
当院では豊富な症例実績がございますので、ガミースマイルでお困りの方はぜひ当院に一度ご相談ください。