
ガミースマイルの治療(クラウンレングスニング)
ガミースマイル 審美修復歯の萌出時の異常や骨格の問題などにより笑った際に歯茎が多く見えてしまうことをガミースマイルと言います。 この場合は骨格の問題が絡んでいる場合が多いですが、歯肉の切除を行うだけでかなりイメージを変えることが可能です。 一度 […]

歯の萌出時の異常や骨格の問題などにより笑った際に歯茎が多く見えてしまうことをガミースマイルと言います。 この場合は骨格の問題が絡んでいる場合が多いですが、歯肉の切除を行うだけでかなりイメージを変えることが可能です。 一度 […]

前歯の破折を主訴に来院された患者様です。 元々前歯の隙間も気になっていたとのことでその部分も含めて修復を行いました。 幅のバランスなどは患者様と相談し、患者様の好みに合わせた形態で修復しました。 歯の形にはそれぞれ特徴が […]

笑った際に歯茎が見えてしまう状態のことで、特に女性の方に多く見られる状態です。 ガミースマイルの原因にもよりますが、簡単な歯肉の切除で劇的に変化することがあります。 クリーニングを別として、一回の処置で終わる簡便な処置に […]

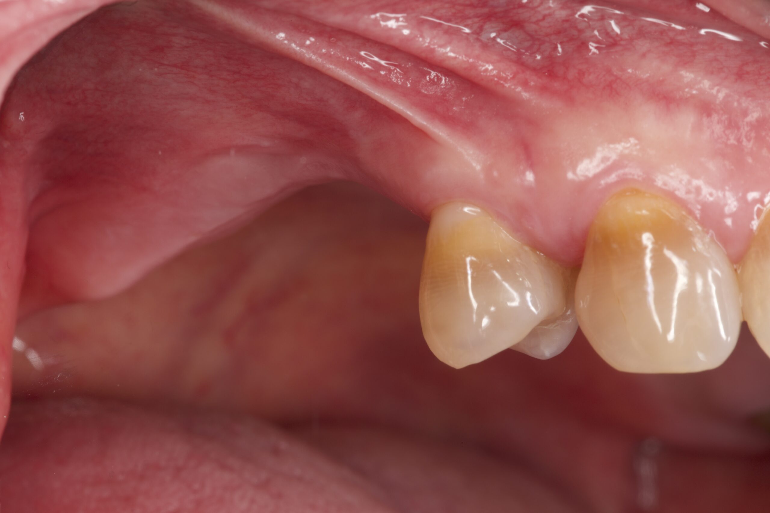
元々骨格的に歯肉と骨のバランスが崩れており、審美的な障害を訴えてご来院された患者さんです。 笑った際に歯肉が見えてしまうということも気にされていたので、歯肉の切除を行い、十分な治癒期間を置いた後にセラミック治療を行いまし […]

前歯の見た目を改善したいと来院された患者様になります。 残念なことに右上の歯は根っこまで割れており抜歯となりました。 インプラント治療は避けたいとのことでしたので、割れた根っこを除去し、両隣の歯を土台としたセラミックの被 […]

前歯の歯と歯の間に隙間があることを”正中離開”と言います。 その隙間を、歯を削ることなく、コンポジットレジンという材料で詰めることで、審美的な状態にすることが可能です。 この材料には様々な種類があり、それを複数種重ね合わ […]

下顎の歯肉退縮が気になるとのことで来院されました。 年齢や、歯ブラシの仕方、元々の歯肉の薄さなどが原因で、歯ぐきが下がってしまいました。 上顎から歯肉を採取し、下がった歯ぐきに移植を行い、元の状態に回復することができまし […]